point Logo
main logo
main logo
2216

Fetiță de trei ani cu o tumoră masivă, salvată de medicii din Chișinău

O fetiță de trei ani a fost salvată la Institutul Mamei și Copilului (IMC), după ce medicii au depistat o tumoră masivă în hemitoracele drept, care ocupa aproximativ 80% din cavitatea pleurală și comprima aproape total plămânul drept. Intervenția chirurgicală de urgență a avut loc pe 10 februarie, la Centrul „Natalia Gheorghiu” din cadrul IMC.

Fetiță de trei ani cu o tumoră masivă, salvată de medicii din ChișinăuImagine simbol

Pacienta a fost adusă la IMC cu tuse uscată persistentă, stare de oboseală și dificultăți de respirație (dispnee), simptome apărute cu doar o săptămână înainte, transmite Știri.md.

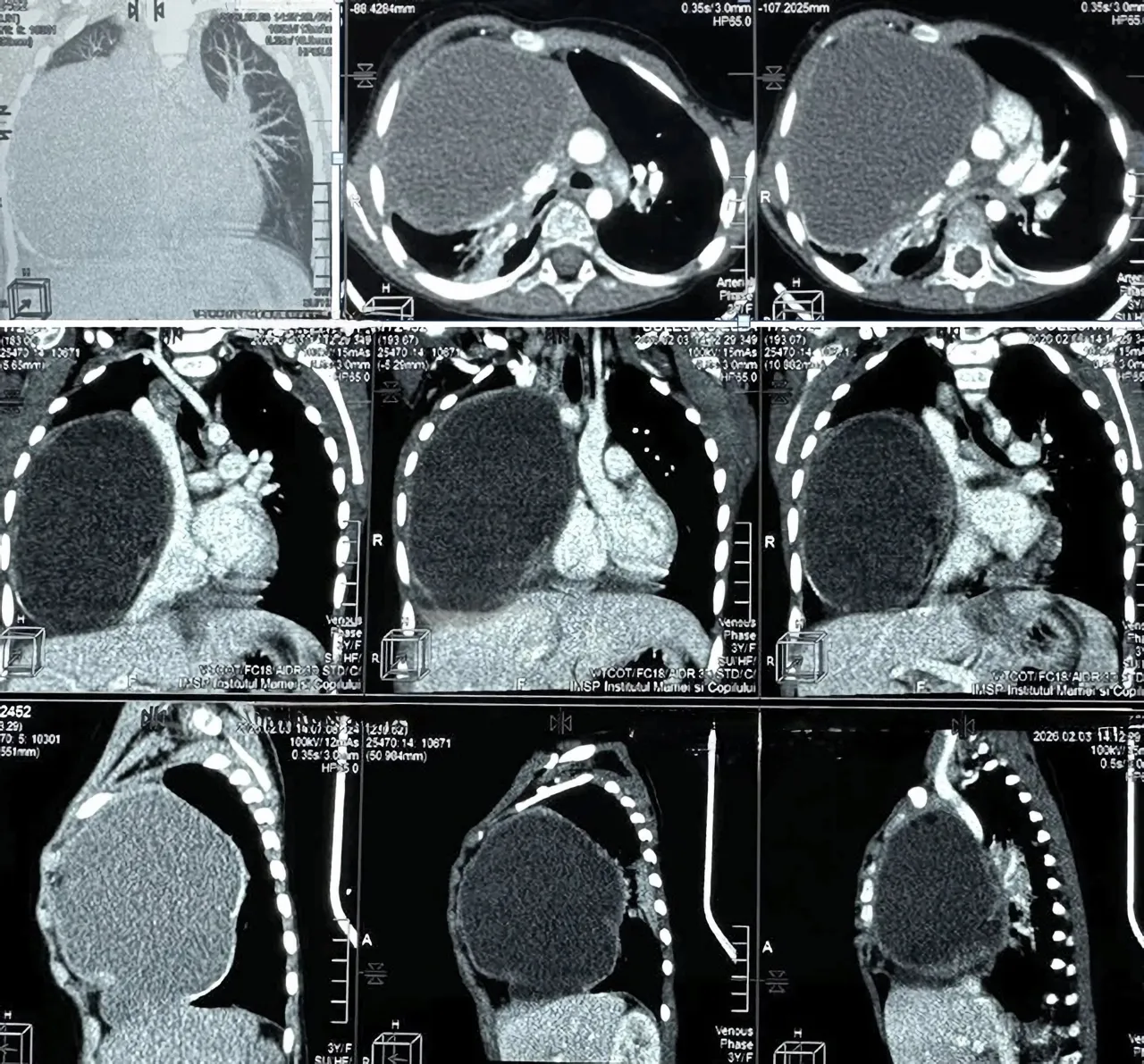
Investigațiile imagistice efectuate în cadrul serviciului de radiologie și medicină nucleară au arătat o situație gravă: o formațiune tumorală de aproximativ 12 x 9 x 10 cm, localizată în hemitoracele drept. Potrivit medicilor, tumora ocupa circa 80% din cavitatea pleurală, comprimând aproape în totalitate plămânul drept și exercitând presiune severă asupra structurilor mediastinale.

Tomografia a sugerat un caracter multicomponențial al formațiunii, cu suspiciune de teratom, fiind menționată și asocierea cu o anomalie vasculară rară – artera subclavie dreaptă aberantă.

Din cauza compresiei semnificative asupra organelor toracice vitale, a fost necesară o intervenție chirurgicală de urgență pe 10 februarie. Prin abord de toracotomie latero-posterioară largă, la nivelul spațiului intercostal V, chirurgii au realizat excizia completă a tumorii și a unei porțiuni de timus. Echipa medicală precizează că disecția a fost una extrem de fină, pentru a separa formațiunea de structurile vitale în condiții de maximă siguranță.

Operația a fost realizată de o echipă multidisciplinară formată din Stanislav Babuci, medic chirurg pediatru și șef al Centrului național științifico-practic de chirurgie pediatrică „Natalia Gheorghiu”; Igor Ambros, medic chirurg pediatru și vicedirector medical; Ana Fedoruc, medic chirurg pediatru; Dumitru Frunze, medic anesteziolog și șef al departamentului ATI.

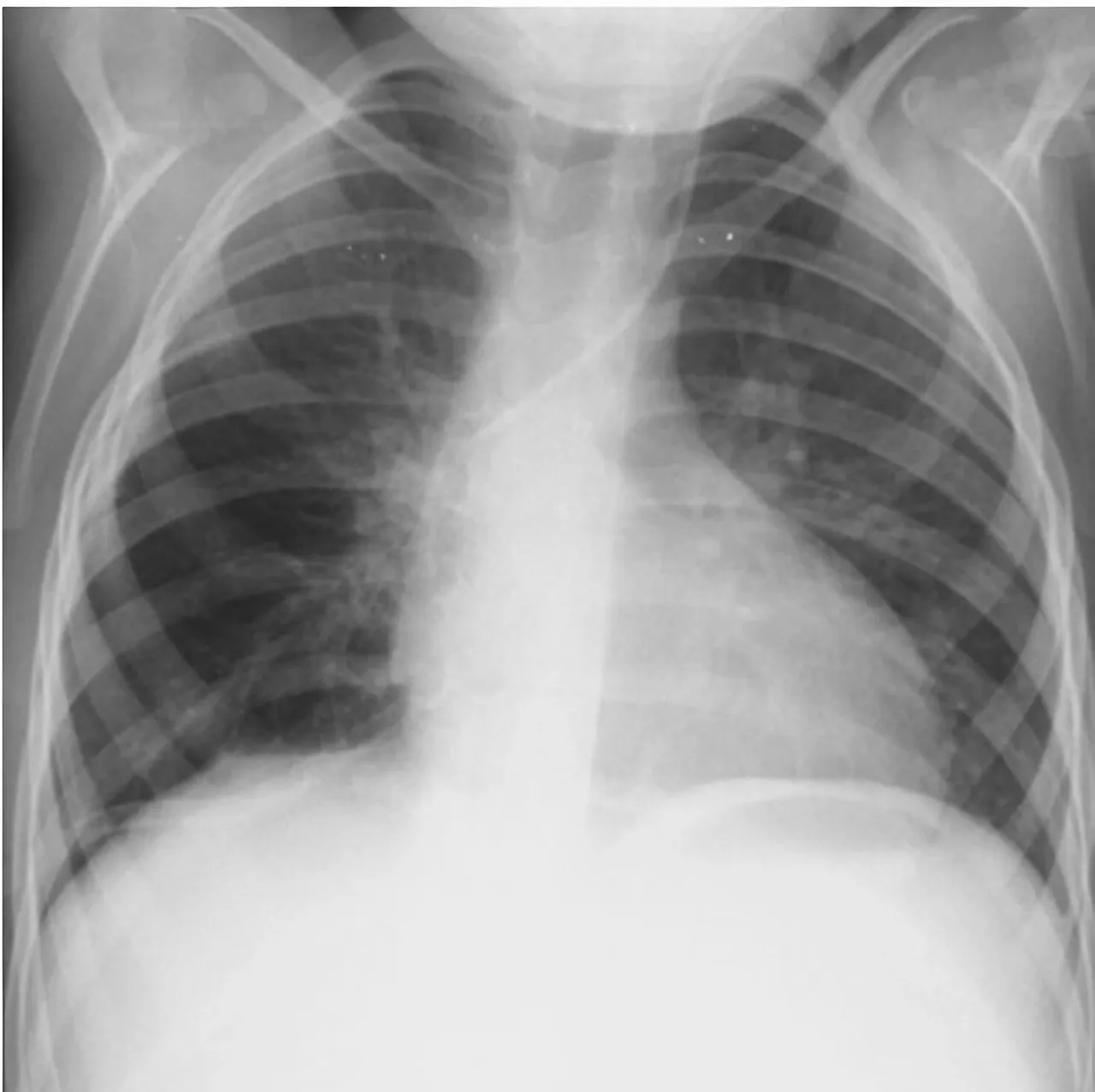
Evoluția postoperatorie a fost favorabilă. Pacienta a fost extubată în prima zi după intervenție, iar radiografia toracică din a doua zi postoperator a confirmat reexpansiunea completă a plămânului drept, fără semne de revărsat pleural. Tubul de dren a fost suprimat după 48 de ore.

Reprezentanții IMC subliniază că acest caz evidențiază importanța diagnosticului precoce, a intervenției prompte și a colaborării eficiente între specialiști pentru salvarea și restabilirea sănătății copiilor.

știri.md
Publicitatea ta poate fi aici